前歯が折れた場合の治療法は?主な治療法や応急処置について解説

前歯が折れてしまい、「すぐ歯医者に行くべきなのか」「元どおりに近い見た目まで治せるのか」と不安になっていませんか。前歯は目立ちやすい場所にあるため、少し欠けただけでも気になりやすく、食事や会話のしづらさにつながることもあります。見た目の変化が小さくても、歯の内部まで影響している場合があるため、自己判断で様子を見るのは注意が必要です。
この記事では、前歯が折れたときにまず取るべき対応、歯科医院で行う主な治療法、費用や通院回数の目安までわかりやすくまとめています。治療の考え方を事前に知っておくことで、受診時にも落ち着いて相談しやすくなります。前歯のトラブルにどう対応すればよいか迷っている方は、ぜひ参考にしてください。
前歯が折れたときにまず優先したい対応

前歯が折れた直後は、見た目の変化や痛みに気を取られやすいものですが、最初の対応によってその後の治療に差が出ることがあります。誤った対処をすると状態が悪化する可能性もあるため、落ち着いて行動することが大切です。
受診までの過ごし方や持参したほうがよいものを知っておくと、診療もスムーズになりやすくなります。
受診までの応急対応
前歯が折れた場合は、まず口の中を確認し、出血があるときは清潔なガーゼやティッシュを軽く当てて止血します。強く押しつけすぎたり、何度も触ったりすると傷口を刺激しやすいため、必要以上にいじらないことが大切です。
痛みがある場合は、市販の鎮痛薬を用法・用量の範囲で使うことはありますが、それで受診が不要になるわけではありません。また、冷たい飲み物や熱い食べ物、硬い食材はしみたり負担になったりしやすいため、受診までは避けたほうが無難です。
見た目の変化が小さい場合でも、歯の内部や根に影響していることがあります。痛みの強さだけで判断せず、できるだけ早く歯科医院に相談することが大切になります。
折れた歯や欠片の保管方法
折れた歯の一部や欠片が見つかった場合は、捨てずに持参したほうがよいことがあります。状態によっては治療の参考になったり、接着に使えたりする可能性があるためです。乾燥を避けるため、清潔な容器に入れて持参すると扱いやすくなります。
一方で、歯が丸ごと抜けた場合は対応が異なります。乾燥を避けることが特に重要になるため、牛乳や歯の保存液、生理食塩水などに入れて、できるだけ早く歯科医院を受診することが大切です。手元に適したものがないときは、乾かさないよう注意して持参することが望まれます。
折れた部分の扱い方に迷う場合でも、自己判断で捨ててしまわず、そのまま医院へ持っていくほうが治療の選択肢を残しやすくなります。
避けたい自己判断
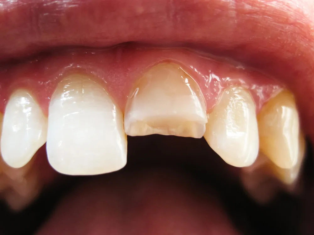
前歯が少し欠けただけに見えると、「痛くないから大丈夫」と考えてしまいがちです。しかし、表面の欠けに見えても、内部にヒビが入っていたり、神経の近くまで達していたりすることがあります。見た目だけで軽症と決めつけないことが大切です。
また、市販の接着剤でくっつける、強く噛んで位置を合わせようとする、といった対応は避けるべきです。こうした行為は状態を悪化させるおそれがあり、医院での処置を難しくすることもあります。
前歯の治療は折れ方で変わる
前歯の治療方法は一つではなく、折れた範囲や深さによって選択肢が変わります。表面だけの欠けであれば比較的シンプルな処置で済むこともありますが、神経や歯の根まで影響している場合は治療が大きく変わります。
診察では見た目だけでなく、内部の状態まで確認したうえで方針が決まります。
小さな欠けへの修復治療
前歯の先端や表面が少し欠けた程度であれば、コンポジットレジンと呼ばれる歯科用の樹脂で形を整える治療がよく行われます。歯の色に近い材料を使えるため、比較的自然な見た目を目指しやすい方法です。
この治療は、歯を大きく削らずに済むケースが多く、処置時間や通院回数の負担も抑えやすい傾向があります。欠けた範囲が小さいうちに対応できれば、自分の歯を多く残しやすい点もメリットです。
ただし、欠け方や噛み合わせの状態によっては、樹脂だけでは対応しにくい場合もあります。見た目が小さな欠けに見えても、治療方法は診査結果によって変わります。
神経に近い破折への処置
折れた部分が歯の内部に近い場合は、冷たいものがしみたり、ズキズキした痛みが出たりすることがあります。これは、神経に刺激が伝わりやすくなっているためです。そのため、単に形を整えるだけでなく、神経を保護するための処置が必要になることがあります。
状態によっては神経を残せる場合もありますが、炎症や感染が進んでいるときは根管治療が検討されることもあります。前歯は見た目だけでなく機能面も大切なので、なるべく歯を残せるかどうかを見極めながら方針を決めることになります。
しみる症状が一時的に落ち着いたとしても、内部で問題が進むことがあるため、受診を先延ばしにしないことが大切です。
歯根まで達した破折の治療
折れた部分が歯の根まで及んでいる場合は、見た目以上に慎重な判断が必要になります。歯の根は歯を支える重要な部分のため、ここにダメージがあると、単純な修復だけでは対応できないことがあります。
実際には、割れ方によって治療方針が大きく変わります。固定して保存を目指せることもありますが、歯ぐきの下まで深く割れている場合や保存が難しい場合は、抜歯を含めた検討が必要になることもあります。そのため、レントゲンや必要に応じたCT撮影などで、内部の状態を詳しく確認することが大切です。
見た目だけでは判断しにくい部分だからこそ、違和感の段階で相談しておくことが、治療の選択肢を広げることにつながります。
抜歯後の補綴治療
前歯を残すことが難しい場合は、抜歯後に見た目と噛む機能を補う治療が行われます。代表的な方法としては、ブリッジ、入れ歯、インプラントが挙げられます。それぞれ特徴が異なるため、何を優先したいかによって選び方も変わります。
ブリッジは比較的早く見た目を補いやすい方法ですが、支えにする隣の歯を削る必要があります。入れ歯は取り外しができ、外科的な処置を避けたい場合の選択肢になります。一方で、装着感に慣れるまで時間がかかることもあります。
インプラントは、周囲の歯への負担を抑えながら見た目や噛み心地に配慮しやすい方法ですが、外科処置と治療期間が必要です。どれがよいかは一律ではないため、口の中の状態や希望を踏まえて相談することが大切になります。
前歯が折れたら早めに治療したほうがよい理由

前歯が折れた場合は、できるだけ早く治療を受けたほうがよいとされています。時間が経つにつれて痛みが強くなったり、見た目の負担が増したり、歯を残せる可能性に影響したりするためです。
見た目だけで軽いと判断せず、早めに状態を確認してもらうことが大切になります。
痛みとしみる症状の悪化
歯が折れると、内部の象牙質が露出したり、神経に近い部分まで刺激が伝わりやすくなったりします。そのため、冷たい飲み物や甘いものがしみる症状が出やすくなります。最初は軽い違和感でも、刺激が続くことで痛みが強くなることがあります。
また、折れた部分から細菌が入り込みやすくなると、内部で炎症が進み、神経の治療が必要になる場合もあります。痛みがまだ強くない段階で受診しておくと、処置の負担を抑えやすくなることがあります。
見た目への影響
前歯は会話や笑顔のときに目に入りやすいため、小さな欠けでも気になりやすい場所です。実際にはわずかな変化でも、自分では大きな違和感として感じることがあります。そのため、日常生活の中で気持ちの負担につながることも少なくありません。
前歯の欠けを気にして、人前で話しにくくなったり、口元を隠す癖がついたりすることもあります。こうした負担は周囲から見えにくいものですが、本人にとっては大きな問題になりやすい部分です。早めに相談することで、見た目と気持ちの両面で負担を減らしやすくなります。
歯を残せる可能性の低下
時間が経つほど、折れた部分から細菌が入りやすくなったり、噛むたびにヒビが広がったりすることがあります。その結果、最初は保存を目指せた状態でも、後から治療の選択肢が限られてしまうことがあります。
特に、内部の感染や炎症が進んでしまうと、神経の治療や抜歯が必要になる可能性も出てきます。前歯は見た目の印象に関わるだけでなく噛み合わせにも影響するため、残せる可能性があるうちに早めの対応を取ることが大切です。
前歯の治療にかかる費用と通院回数
前歯の治療は、折れ方や必要な処置によって費用と通院回数に幅があります。あらかじめ大まかな考え方を知っておくと、受診前の不安を減らしやすくなります。実際には保険診療で対応できる場合もあれば、自費診療の選択肢を含めて検討する場合もあります。
保険診療の費用目安
小さな欠けの修復など、保険診療で対応できるケースでは、自己負担割合に応じて比較的費用を抑えやすい傾向があります。前歯の状態が軽く、シンプルな処置で済む場合は、通院回数も少なくなりやすいです。
一方で、神経の治療や被せ物が必要になる場合は、処置が複数回に分かれることがあります。そのため、1回ごとの費用だけでなく、通院回数を含めて総額が変わりやすくなります。実際の金額は症状や治療内容によって異なるため、診察後に説明を受けたうえで判断することが大切です。
自費診療の選択肢
見た目への配慮をより重視したい場合は、自費診療が選択肢になることがあります。セラミックなどの素材は、色や透明感を周囲の歯になじませやすく、前歯の治療で検討されることがあります。
自費診療では、使用する素材や治療方法によって費用に幅があります。その分、見た目や耐久性に配慮した治療を選びやすい点が特徴です。前歯は目立ちやすい場所だからこそ、見た目の希望や予算をあらかじめ伝えておくと、納得のいく相談につながりやすくなります。
通院期間の目安
前歯の治療期間は、折れ方や治療内容によって大きく変わります。小さな欠けであれば1回の処置で終わることもありますが、神経の治療が必要になる場合は複数回の通院が必要です。
さらに、被せ物やインプラントなどの補綴治療を行う場合は、型取りや装着、経過確認を含めて数週間から数か月かかることがあります。特にインプラントは、骨との結合を待つ期間が必要になるため、治療全体が長くなる傾向があります。
通院期間は短ければよいわけではなく、状態に合った手順で治療を進めることが大切です。見た目だけでなく、長く使いやすい状態を目指すためにも、無理のない治療計画を立てることが重要になります。
前歯の治療で歯科医院を選ぶポイント

前歯は見た目と機能の両方に関わるため、どこで治療を受けるかも大切な判断になります。欠けた部分を補うだけでなく、周囲の歯とのなじみ方や噛み合わせまで考えて対応してもらえるかが重要です。治療内容だけでなく、診査や説明、通院のしやすさも含めて選ぶことが安心につながります。
診査設備の充実度
前歯の状態を正確に把握するためには、レントゲンなどの基本的な検査に加えて、必要に応じた詳しい診査ができることが大切です。特に歯の根の状態やヒビの有無は、見た目だけではわからないことが多いため、設備が整っている医院のほうが判断しやすくなります。
診査が丁寧に行われることで、不要な処置を避けながら、その歯に合った治療方針を立てやすくなります。設備の有無だけでなく、検査結果をわかりやすく説明してくれるかどうかも、医院選びでは大切なポイントです。
見た目と噛み合わせへの配慮
前歯の治療では、欠けた部分を埋めるだけでなく、周囲の歯との色や形の調和、噛み合わせまで考える必要があります。見た目が整っていても、噛み合わせに無理があると欠けやすくなったり違和感が続いたりすることがあります。
仕上がりの自然さだけでなく、噛んだときの当たり方まで丁寧に見てもらえるかが大切になります。特に前歯は目立ちやすいため、色合わせや形の調整への配慮が治療後の満足感に関わりやすい部分です。見た目と使いやすさの両方を意識した治療を受けることで、日常生活でも違和感が少ない状態を保ちやすくなります。
継続的なメンテナンス体制
前歯の治療は、処置が終わったらそれで完全に終わりというわけではありません。修復した部分の状態や噛み合わせは時間とともに変化することがあるため、定期的に確認してもらうことが大切です。
メンテナンス体制が整っている医院であれば、小さな変化にも気づきやすく、問題が大きくなる前に対応しやすくなります。修復した部分を長く使いやすい状態に保つうえでも、継続的なフォローは大切な要素です。
また、通院しやすさや予約の取りやすさも継続のしやすさに関わります。無理なく通える環境かどうかも、医院選びで見落としたくないポイントです。
まとめ | 前歯が折れたら早めの受診が大切
前歯が折れた場合は、見た目の変化だけでなく、内部の神経や歯の根にまで影響している可能性があります。表面の小さな欠けに見えても、状態によって治療方法は大きく変わるため、自己判断で様子を見すぎないことが大切です。受診までの間は、患部を刺激しないように過ごし、折れた歯や欠片が見つかった場合は捨てずに持参すると治療の参考になることがあります。
また、早めに受診することで、痛みやしみる症状の悪化を防ぎやすくなり、歯を残せる可能性を見極めやすくなります。前歯は見た目と噛み合わせの両方に関わるため、治療内容だけでなく、診査の丁寧さや仕上がりへの配慮、治療後のメンテナンスまで含めて相談できる歯科医院を選ぶことも重要です。
前歯のトラブルや見た目のご相談は、ぜひ『葛西駅前あなたの歯医者さん 矯正歯科』へお気軽にご相談ください。







